Call our dental lab in Phoenix to craft you the perfect solution with HT Zirconia. 623-934-7614
Product Specifications
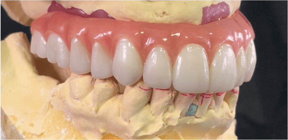
- Customizable Crowns where higher esthetics are needed
- High durability for long-lasting full-arch solution
- Designed to transfer occlusal force directly to the bone
- Suitable for patients exhibiting signs of bruxism
- Easy crown replacement for maintenance
More Information
Made at Hershberger


